Abutment Screw Failure Caused by Off-angle Loading on an Inclined Maxillary Implant – 0043
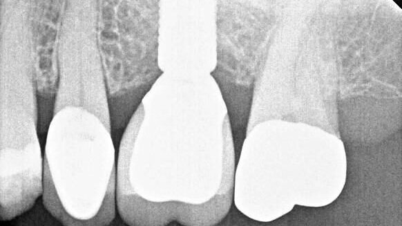
This case showcases an example of Abutment screw failure resulting from off axis loading on a lingually inclined maxillary implant.
This case showcases an example of Abutment screw failure resulting from off axis loading on a lingually inclined maxillary implant.
This case illustrates how wrong restorative components led to two abutment screw failures in two years leading to an abutment screw rescue.
The patient presented for recovery of an abutment and abutment screw from a Straumann 4.8 BL RC implant in the #30 site.