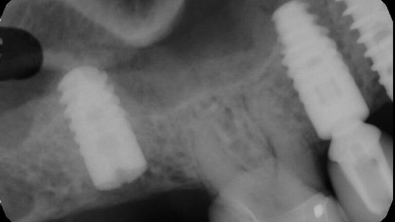
Ankylos Fractured Abutment (Non-indexed, pre-C/X) in #2 site – 0013
The patient presented on referral from his general dentist with a fractured Ankylos abutment in the #2 site.
The patient presented on referral from his general dentist with a fractured Ankylos abutment in the #2 site.