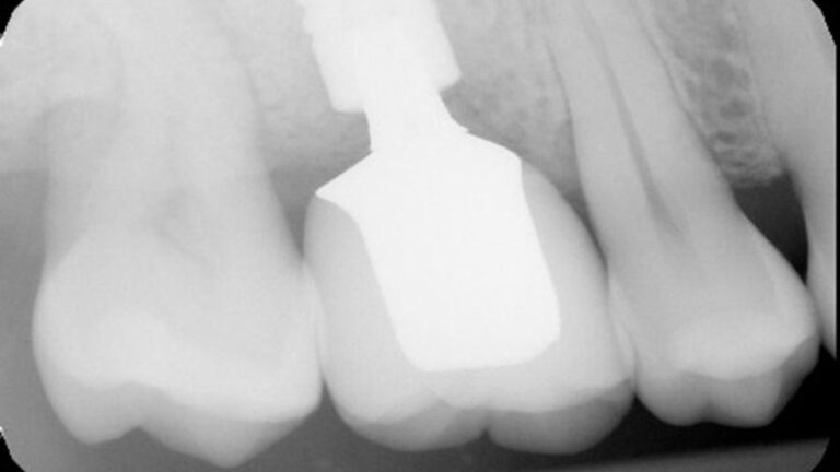
Ankylos NON-OEM Abutment Fracture Case – 0016
The patient was referred by Dr. W. for retrieval of a fractured abutment from an Ankylos CX implant in the #30 site.
The patient was referred by Dr. W. for retrieval of a fractured abutment from an Ankylos CX implant in the #30 site.
This case involves a fractured Atlantis zirconia abutment in an Ankylos 4.5 implant in the #3 site.
The patient presented on referral from his general dentist with a fractured Ankylos abutment in the #2 site.
The patient presented on referral for retrieval of a fractured zirconia abutment from a Straumann 4.1 BL implant in the #6 site.