A Diagnostic and Treatment Algorithm for Fractured Implant Screw Retrieval
A Diagnostic and Treatment Algorithm for Fractured Implant Screw Retrieval: Organizing for a Safe Recovery to Preserve Implant Integrity.
A Diagnostic and Treatment Algorithm for Fractured Implant Screw Retrieval: Organizing for a Safe Recovery to Preserve Implant Integrity.
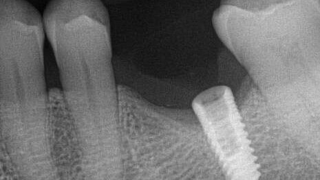
This implant case showcases an example of an Iatrogenic screw retrieval of a poorly placed TSV implant, Creating a Type VI Screw Recovery Case.