Organizing for a Safe Recovery to Preserve Implant Integrity
The difficulty encountered when recovering fractured implant screw fragments is quite wide. This range extends from very straight forward to extremely complex, with the risk of damaging implant structure accelerating with the complexity. This is the reason the literature is filled with various techniques, usually operated in undefined scenarios, often showing a positive outcome, but which generally creates less than a complete understanding of the problem. This can leave the reader with an incomplete understanding of techniques for safe application. What happens if the protocol is ineffective and fails to resolve the problem? Does it have the potential to elevate the case complexity, or worse yet, create an unusable implant?
This paper introduces the use of a diagnostic and treatment algorithm to apply a structured approach and gain an early understanding where a particular case lies in this continuum. This algorithm has proven to be an extremely helpful tool to organize treatment protocols and necessary tooling, and in doing so, avoid inadvertent mechanical damage to the implant.
Exploring how this diagnostic algorithm was created
After battling through many early screw fragment retrievals, it became obvious there were certain characteristics that had a lot to do with the difficulty and ease of retrieval of the case. The three main factors were:
-
- Realization that the number of and the longer the prior retrieval attempts, the more complicated the retrieval tends to become, due to inadvertent internal damage to the screw top or implant threads.
- Location of the screw fragment top, relative to the first implant thread, is the first indicator of case complexity.
- Mobility of the screw fragment when using just an endodontic explorer or a modified endodontic spoon excavator, is a second major indicator for case complexity. Why just these two simple instruments? This is straightforward: the case cannot be further complicated by using these instruments. Initially these instruments are diagnostic for mobility but often may solve the case when the fragment is mobile. If not, recognizing the lack of mobility helps plan for what will be needed next.
To guide a recovery, fractured abutment screw cases are divided into four basic categories based on parameters 2 and 3 above: the position of the screw fragment in the implant, and its mobility. This simple diagnostic algorithm helps determine the most conservative and effective recovery methods to employ.
Combining these two findings, the first four case types emerge:
Type I The screw fragment is mobile and resides above the first implant thread
Type II The screw fragment is non-mobile and resides above the first implant thread
Type III The screw fragment is mobile and resides below the first implant thread
Type IV The screw fragment is non-mobile and resides below the first implant thread
Two additional categories can be added to the above four basic types and are based on observed damage from prior recovery attempts. These are differentiated by the amount of observed damage and may not be able to be accurately assessed until well into the recovery.
Type V Partial implant damage has occurred, but the implant is still restorable with OEM components
Type VI Significant implant damage has occurred, creating a case which cannot utilize OEM components for subsequent restoration
Proper classification is only possible with visualization sufficient to identify thread position and fragment mobility. Using microscope magnification in the 16-25x range offers a distinct advantage over loop magnification, the value of which cannot be over emphasized. Each case type presents its own challenges, typically increasing in difficulty and risk as the case type increases. Types I and III (mobile fragments) can usually be resolved with hand instruments and good microscopic visualization. Types II and IV (nonmobile fragments) require mobilization, ideally using concentric techniques to minimize implant thread damage.
Type V and VI cases are often the result of prior failed recovery attempts involving freehand drilling, or the use of imprecise tools or techniques, ultrasonic instruments, and compounded by inadequate visualization. These cases usually require full screw core drill-outs and thorough debridement of the implant threads, with the implant’s prognosis unclear until recovery is well underway. These procedures are included in some of the case studies below.
Understanding treatment protocols by progressively evaluating case type examples
Before attempting a fractured screw recovery, it is foundational to understand what implant system is involved and the involved internal mechanics and dimensions of that system. How can you expect routine success and avoid implant damage if you don’t understand the environment you’re working in and the mechanisms of action and precision tolerances of the recovery tools you are relying on? Dimensions are small and tolerances are too tight to guess. Precision is not an option. As the case type number increases, so does the risk of implant damage—especially if the above factors are not properly controlled.
The mobile fragment cases Type I and III
The Type I case is as easy as it gets and can routinely be recovered with only the hand instruments used in diagnosis: the endodontic explorer and a modified endodontic spoon excavator. This is especially true if there have not been any prior recovery attempts that may have modified the situation. With prior recovery attempts, these cases often present as another type with the associated increased difficulty. In other words, the fragment has moved or is no longer mobile. The following case is a typical example of a Type I case.
The following Type I case presented with a fractured abutment screw in an Implant Direct Legacy III (blue) implant in the #8 site. This implant had been in function for 9 years. The preoperative radiograph clearly showed the top of the fragment positioned above the top implant thread. There were no previous recovery efforts attempted. As the fragment was mobile with an endodontic explorer, the case qualified as a Type I case. The fragment was rotated out of the implant with the endodontic explorer and recovered. The key to success in this case was understanding the situation prior to recovery and using only the necessary tooling to mobilize an already mobile fragment. Microscopic visualization is always helpful to understand where the lead thread of the fragment is located relative to the implant lead thread.
When viewing the photographs in all of the following case studies, please be aware all of the intraoral microscopic images are reversed, as they are reflections off a mouth mirror.




The mobile fragment case Type III
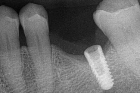
This next case is very similar to the above Type I case, with the exception that the lead screw thread fragment was about a half thread below the lead implant thread. This is a DIO 3.0 implant that had an initial tight contact issue and when returning to the office, the abutment screw was fractured. There were no prior recovery efforts. The difference in these two cases is that a Type III case can be more difficult to rotate up, because the fractured lead thread can be sharp and as it is leading in the counterclockwise rotation, it can catch into an implant thread. Without adequate visualization, the case can be easily mistaken for a non-mobile Type IV case. Often upward rotation progress is slow until the lead fragment thread emerges from the implant threads, converting the case into a Type I case. This situation is diagnosed when the fragment can rotate freely down (clockwise), but with difficulty up (counterclockwise). This issue is difficult to appreciate with only loop magnification.






So far, there has been no mention of recovery tooling, other than the hand instruments used for diagnosis. However, there is one additional protocol I use quite often to save time when rotating a mobile Type I case to free the fragment from the implant. This technique is specifically intended for fragments that are already mobile and should not be used in cases where the screw fragment is still firmly engaged or immobile. Once the screw fragment is up, away from implant structure and the geometry of the connection provides some clearance, a surgical length ¼ round bur on a hand piece can often very quickly rotate the fragment free and out of the implant. The bur has to be rotating clockwise, as in a high-speed handpiece, and the procedure should be highly controlled, as the bur must fit on the outside diameter (OD) of the fragment without engaging the implant. A short burst of rotation, engaging the fragment with light pressure, will facilitate the recovery. Although I do this maneuver often, I have never done it without microscope visualization. Additionally, there are times I set up to do it and there just isn’t enough clearance or clear access to be save, so the process is abandoned. The time saved is not worth the possibility of implant damage. I generally do not advocate for freehand drilling in an implant for fractured screw retrieval as it can quickly degenerate into an implant disaster, microscope or not, but this is a minor exception that when used judiciously, can work quite well.
The nonmobile fragment cases Types II and IV
If the fragment is found to be nonmobile, then it has to be mobilized or completely drilled out in pieces to clear the implant. Additional preparation has to be made to control the process with a clear objective for each step in the progression. Understanding each step as to the reason it is being done, with reliance on precision tooling for guidance, becomes increasingly critical. These next cases will illustrate the reasons an in depth understanding of the mechanics, in both the system being worked on and the level of precision in the tooling to be used, should come into clearer focus.
Progression in mobilizing a nonmobile screw fragment entails only using guided instruments to work concentrically into the fragment to avoid the implant threads. The best way I have found is to create a concentric bore into the fragment, which then can act as a guide for either an end engaging fragment fork, or one of many other screw extractors available. These instruments can engage the side walls of the bore and thus generate enough torque to overcome whatever is preventing the fragment from disengaging from the implant. To concentrically drill the bore, a very precision guide system has to be set up and effectively used. This presents a problem as many of the available “all in one tool kits” do not and cannot be effective in the many clinical situations that present, due to lack of precision of the kit. Some implant companies offer their own solutions for problems encountered in their system, but if a doctor accepts referrals from many sources there is a high probability of encountering an implant not supported with available tooling options. This is easy to understand, as there are approximately 92 systems currently FDA approved in the US and approximately 572 systems worldwide. The problem of having precision tooling to control this boring procedure is becoming progressively more immense. It just isn’t possible for one little kit to support this varied volume of implant presentations. It also isn’t practical to have every kit on the planet, as many have different levels of precision with different approaches, which would further the clinical confusion. The only practical solution is to standardize the approach regarding drills and recovery instruments and vary the guides to fit each system with superior precision. I have been using this approach for over 20 years, utilizing standardized custom-manufactured drills and custom precision guides with superior outcomes. Whatever guide system that has been selected, it has to be built with precision in order to achieve concentric control of the procedure.
To further clarify the extent of this issue, there are several reasons a drilled bore may not be concentric as intended, even with guidance. These are the parameters that come to mind,that may help evaluate tooling:
- The guide was not made concentric, so the guiding bores do not aline with the interface.
- The tolerance fit of the drills to the guide is not adaquate, allowing “wobble” which produces eccentric drilling.
- The tolerance fit of the guide to the implant interface is not adaquate, again allowing eccentric drilling.
- The handle system, while designed to hold the guide stable, often does just the opposite, if the tolerance fit of the guide to the implant is not secure or stable. Many implant interfaces do not offer enough stability to resist the torsional leverage a handle system can exert.
- There was no confirmed, concentric starting point with a spotting drill, which allows for the drill to wander while starting the bore.
- As these drills are small and flexible, the drills can flex, especially when starting the bore. This is a big reason for fractured drills, as this eccentric drilling side loads the drill and as the bore is deepened the loading increases as the drill wanders further off center.
For a non-mobile fragment, I don’t see any other alternative other than mastering concentric drilling. Achieving mastery is possible and a necessary prerequisite for predictable success when recovering nonmobile screw fragments. In my practice, a screw fragment recovery case is generally not appointed unless I already possess the necessary tooling to concentrically drill the fragment, if it is found to be non-mobile.
A non-mobile Type II case
This next case involves recovery of a fractured abutment screw fragment from a Nobel Trilobe implant in the #31 site. This implant had been in function for over 12 years prior to this abutment screw fracture. This screw fragment presented as non-mobile when examined with an endodontic explorer. The fragment top was above the first implant thread. There was clear evidence of a cement or resin on the periphery of the fragment, suggesting the reason this fragment was resistant to rotation. While not a common finding, the hope was this material did not extend down into the threads, which would significantly complicate the retrieval. This case was a Type II case, which would require concentric drilling and hopefully a routine retrieval with a screw extractor, rather than a total drill out. A custom guide was set up using Orthocril LC resin and the fragment was spot drilled. For an in depth guide sheet on how to construct this guide, it is posted on this website under: Setting up a custom drill guide with Ortho resin. As all drilling operations are done left hand or counterclockwise, there is always the possibility a fragment will be mobilized or even recovered while the hole is bored. Fortunately, that was the situation in this case as the fragment was mobilized, creating a Type I case when the spot drill was used. The resinous material initially seen did not extend down into the threads, which allowed the fragment to become mobile. The fragment was recovered with just the modified endodontic spoon excavator.






A non-mobile Type IV case
The following case involves a Nobel Active 3.0 in the #4 site. The case was in function for just over 2 years when the abutment screw fractured. There was a prior recovery effort with a Cavitron ultrasonic unit. As the abutment and crown had been lost, identification was not possible. When the patient was examined in our office, the fragment was non-mobile and located below the first implant thread. To safely retrieve this Type IV screw fragment, mobilization was required by using a concentric retrieval technique.


When an ultrasonic instrument is used internally in an implant, the case is often complicated as the ultrasonic energy can trough and basically hammer weld the screw and implant threads together. Often, a potentially mobile fragment, as described in the Types I and III descriptions above can easily be converted to a non-mobile fragment. At this point in the case the hope is the thread destruction is limited, and the fragment can be retrieved with concentric drilling and a screw extractor. If not, then progression to a complete drill out is required. The initial steps are the same, so a custom precision drill guide was set up, and the fragment was progressively drilled. As this is a M1.4 screw, the maximum sized bore to avoid threads is the predrill size of 1.1mm. For a screw extractor to be functional and have some screw to engage into a bore, the screw side wall has to have enough thickness to resist flaring when the screw extractor is engaged. The drilling progression, ending in .6mm, was used as documented below. These photographs are routinely taken to monitor the process to ensure the bore is positioned concentric as intended. There is very little room for error.




This drilling progression, from left to right, starts with a spot drill to help guide the .6mm drill to start concentrically. Next, a photo to confirm the position of the .6mm drill. Third, a progress photograph of the .6mm drill. Last, the .6mm bore has penetrated through the end of the screw fragment.
The above sequence photographed at 25x is routine and illustrates the control possible and necessary to achieve this result. A drilling protocol with less precision either in tooling or visualization can lead to severe complications. Fortunately, when a .6mm custom screw extractor was engaged the fragment cooperated and was retrieved, circumventing a complete drill out procedure as will be described in a following case.



The partially destroyed implant case Types V and VI
Case Types V and VI are created when prior treatment is attempted with either an inexperienced doctor, or a poorly prepared treatment protocol. Most often this treatment is conducted without microscope visualization, coupled with unguided or poorly guided drilling attempts, or ultrasonic instrument use.
The following cases illustrate recoveries in both Type V and VI cases. When presenting, the final outcome is generally uncertain and not necessarily obvious based on initial case history and findings. This common finding often pushes the case outcome and prognosis toward the end in the treatment process. Obtaining a positive outcome in these cases requires experience, proper protocols and precision tooling.
A Type V case
This case is presented in detail as case #41 in the case studies section on this website. It involves a prior attempted recovery of a fractured abutment and fractured abutment screw from an Implant One, Series 200 implant. In this case report, significant detail is presented in regard to the recovery protocol and mechanical steps needed to save this implant.
Type VI cases
By definition in a Type VI case, the implant has been so damaged that an OEM restorative solution is not possible. This situation generally occurs following an unsuccessful retrieval attempt with significant loss of critical internal implant structure. There seems to be two usual pathways forward at this point. Either the implant is abandoned and put to sleep or explanted and the site grafted, in the hope of returning to the site, post healing, to reimplant. The first Type VI case illustrates this decision and is presented in detail as case#40 in the case studies section. This case presented following a 2+ hour recovery effort by an endodontist primarily using ultrasonic instrumentation. This implant was an Implant Direct Legacy III 4.2 in the #19 site which had been in function for approximately 6 years prior to an abutment screw fracture and the retrieval attempt. The screw was recovered, along with the majority of the implant threads. The referring dentist had tried to retap the implant, as he had received a tap from the manufacturer. The strategy could not succeed, as the implant threading was already destroyed. The referral asked if I could “retap and place a new screw”. This request was made without adequate diagnostic information, as a short evaluation using an internal impression technique revealed the extent of the internal implant destruction. The internal difficulties with this implant were complicated by additional findings of poor initial implant position, with the associated mesial and facial increased torsional loading and crestal bone loss.
Occasionally, additional options are available when dealing with a Type VI case. Most of which involve utilizing a creative restorative solution when OEM components will no longer work or occasionally when they are no longer commercially available. It is occasionally possible to prepare the implant for a cast post and core solution and restore as an endodontically treated tooth. To date, I have avoided this solution in internally damaged cases. However, over the years, I have restored three aged Corevent cases using the same concept. These implants were designed without internal threading and had cemented abutments instead and are no longer supported with available OEM components.
The next Type VI case used another path forward, after a Straumann RC implant was no longer restorable with an OEM solution. However, it required the ability to reengineer the implant to accommodate specially machined components. The downside to this approach is that a unique implant is created, taking a very specialized skill set to think through the engineering modifications and fabricate the necessary parts, which is accompanied by a significant financial commitment. This is not entered into without careful evaluation of all of the above factors with special consideration as to how strategically important the implant is to save. This second Type VI case fell into this category and is presented in detail as case #33 in the case studies section of this website. Restoring this case produced a unique implant after the original Straumann RC implant was accidentally restored with NC components producing the initial abutment screw failure. This was followed by a failed screw recovery attempt using ultrasonic instrumentation, which eliminated the top implant threads. The case details the history, recovery attempt and restorative steps necessary for successful case completion.
Summary
After reviewing the above case types, it should be appreciated how the treatment algorithm helps organize treatment protocols and simplify treatment decisions. These treatments range from very straight forward to significantly complex. Fortunately, the vast majority of cases fall into the straightforward category, especially if there has not been a prior history of unsuccessful recovery attempts.
Case Study References
For more information on the history of IMR, interested parties can contact us or visit our History of IMR page to learn more about Implant Mechanical Rescue Dentistry.
Contact Dr. Mastrovich and the Mastrovich Dental Team for more information on our Implant Mechanical Rescue services.







