November 2021
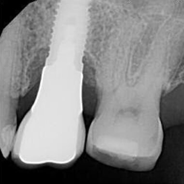
The patient was referred by Dr. K. for recovery of a fractured abutment screw in a 3i 5.0 implant in the #30 site. The fractured screw recovery protocol was reviewed with the patient and the top of the implant was conservatively cleared of excess tissue. The screw fragment was visualized to be below the first implant thread and was not easily mobile. A Type IV case in my treatment algorithm. A recovery system to mobilize the fragment was indicated. The fragment was spot drilled with a custom prototype drill and guide and adjusted until the spot was confirmed to be concentric on the screw fragment. Next, the fragment was drilled with a guided .8mm drill and fortunately the fragment was retrieved on the drill, which prevented a total drill out. The implant was cleaned, and the supplied healing abutment was placed finger tight. The patient was referred back to Dr. K. for continuation of his restorative care. The implant appeared intact and there is no indication that the prognosis for the implant will be altered secondary to the screw facture of the retrieval process.















