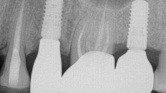
Iatrogenic Screw Retrieval of a Poorly Placed TSV Implant, Creating a Type VI Screw Recovery Case – 0040
This implant case showcases an example of an Iatrogenic screw retrieval of a poorly placed TSV implant, Creating a Type VI Screw Recovery Case.
This implant case showcases an example of an Iatrogenic screw retrieval of a poorly placed TSV implant, Creating a Type VI Screw Recovery Case.
This case exemplifies a fractured abutment screw case initially attempted with a generic recovery kit and no microscopic visualization.
This case illustrates how wrong restorative components led to two abutment screw failures in two years leading to an abutment screw rescue.
The patient presented for retrieval of a fractured healing abutment screw from a Straumann 4.1 RC BL implant in the #13 site
The patient presented on referral from his general dentist with a fractured Ankylos abutment in the #2 site.
The patient presented on referral for retrieval of a fractured zirconia abutment from a Straumann 4.1 BL implant in the #6 site.
Dr. Mastrovich Presented on Broken Dental Implant Screw Removal at the Academy of Osseointegration, American Academy of Restorative Dentists and Dentsply PEERS Conference North America
Dr. Mastrovich Presented on Broken Dental Implant Screw Removal at the Academy of Osseointegration, American Academy of Restorative Dentists and Dentsply PEERS Conference North America