Multiple, Early TiBase Abutment Fractures In Single Tooth Molar Applications – 0045
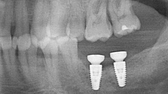
This case showcases Another Example of Multiple, Early TiBase Abutment Fractures When In Single Tooth Molar Applications.
This case showcases Another Example of Multiple, Early TiBase Abutment Fractures When In Single Tooth Molar Applications.
This case illustrates an example of a Mechanical Assessment of a Straumann RC BL Case Where Two Abutments had Failed in Two Years.
This case illustrates another example of a Fractured TiBase abutment requiring an IMR (implant mechanical rescue) by Dr. Mastrovich.
The patient presented on referral for retrieval of a fractured abutment and abutment screw from a BlueSkyBio MaxNP implant 4.3 in the #30 site.
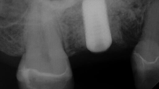
The patient presented on referral for retrieval of a fractured abutment from a 4.8 Straumann BL RC implant in the #18 site.
Dr. Mastrovich Presented on Broken Dental Implant Screw Removal at the Academy of Osseointegration, American Academy of Restorative Dentists and Dentsply PEERS Conference North America
Dr. Mastrovich Presented on Broken Dental Implant Screw Removal at the Academy of Osseointegration, American Academy of Restorative Dentists and Dentsply PEERS Conference North America