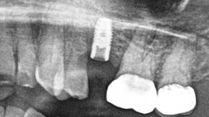
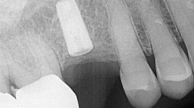
A Type V Abutment and Abutment Screw Recovery Case created by Prior Eccentric Free Hand Drilling – 0041
This case showcases an example of A Type V Abutment and Abutment Screw Recovery Case created by Prior Eccentric Free Hand Drilling.
This case showcases an example of A Type V Abutment and Abutment Screw Recovery Case created by Prior Eccentric Free Hand Drilling.
A Diagnostic and Treatment Algorithm for Fractured Implant Screw Retrieval: Organizing for a Safe Recovery to Preserve Implant Integrity.
This implant case exemplifies a Failed Fractured Abutment Screw Recovery attempt with a Salvin screw recovery kit.