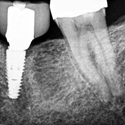
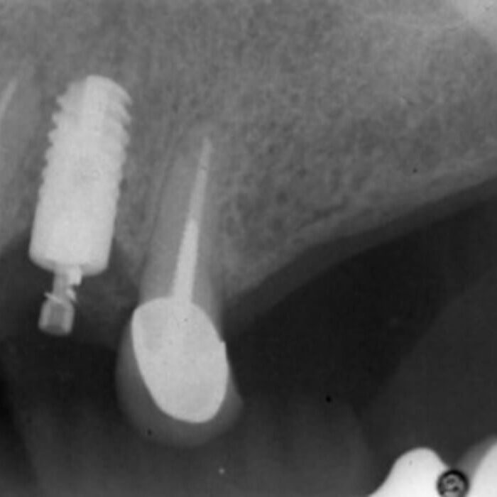
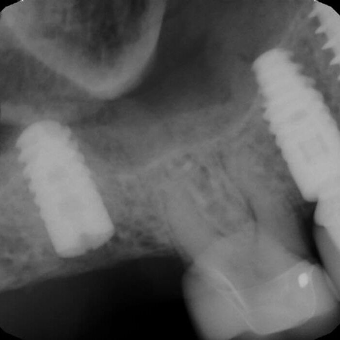
ULTRASONICS: Complications of Abutment Screw Retrieval Secondary to Prior Ultrasonic Attempts
There has been much written on the use of ultrasonics in retrieving fractured screw fragments, which I didn’t think a lot about until May of 2023, as it has not been a part of my fractured screw retrieval algorithm.










































